

Tiếp theo
CÁC CẠM BẪY CỦA CT ĐA LÁT CẮT
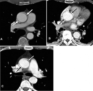
Hầu hết các ảnh giả trên CT có thể do (a) các dải sọc quanh tĩnh mạch do cứng hóa chùm tia hoặc ảnh giả cử động do mạch đập do tĩnh mạch mang thuốc cản quang chưa hòa tan đến tim, hoặc (b) ảnh giả do cử động của động mạch chủ (hình 11); ảnh giả này có thể dẫn đến kết quả dương tính giả. Có thể so sánh được thời gian quét một vòng của máy CT 64 và 16 đầu dò và độ phân giải thời gian là tương đương. Ưu điểm của CT 64 đầu dò là ít ảnh giả hơn vì thu thập thể tích nhanh hơn. Tuy nhiên, chẩn đoán sai bóc tách động mạch chủ do ảnh giả cử động giống nắp lớp áo trong ở động mạch chủ lên vẫn còn xảy ra ở CT 64 đầu dò không sử dụng cổng tim.

Hình 11: Ảnh giả do cử động của động mạch chủ. Hình axial qua ngực ở ngang mức động mạch phổi phải (a), gốc động mạch chủ (b) và động mạch phổi gốc (c) cho thấy ảnh giả do cử động của động mạch chủ (mũi tên) giống vành bóc tách ở động mạch chủ lên.
CT đa dãy đầu dò đã làm tăng độ phân giải không gian và thời gian dẫn đến chụp nhanh hơn, quét toàn diện hơn với độ phân giải không gian đẳng hướng. Tăng thể tích bao phủ làm tăng tốc độ và cho phép đánh giá động mạch chủ, động mạch phổi và động mạch vành trong một nhịp thở với thu thập liên tục chỉ một lần.
Các kết quả khảo sát âm tính giả có thể xảy ra do độ cản quang không đủ vì suy tim hoặc do lòng mạch bị huyết khối có thể nhầm phình động mạch chủ với huyết khối thành.
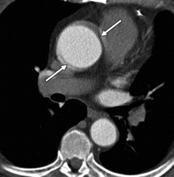
ố dấu hiệu có thể giống với vành bóc tách động mạch chủ và điều quan trọng là phải hiểu vấn đề này trên thực hành. Các dấu hiệu này gồm ngách màng tim (hình 12) và huyết khối thành trong phình mạch dạng hình thoi. Xơ quanh động mạch chủ hoặc các u trung thất, phổi, sau phúc mạc cũng có thể nhầm với vành bóc tách, cũng như thiếu máu có thể có đậm độ thành động mạch chủ cao rõ rệt. Các cấu trúc mạch máu xung quanh động mạch chủ như xoang động mạch chủ, tĩnh mạch thân cánh tay đầu trái và tĩnh mạch gian sườn trên trái cũng có thể nhầm với vành bóc tách. Việc hiểu biết các điểm giống nhau này là quan trọng để phòng chẩn đoán dương tính giả.

Hình 12. Ngách màng ngoài tim. Hình axial cho thấy ngách màng ngoài tim (mũi tên) giống vành bóc tách ở động mạch chủ lên.
CÁC BIẾN CHỨNG CỦA BÓC TÁCH ĐỘNG MẠCH CHỦ
Điểm quan trọng. Ở các bệnh nhân bóc tách động mạch chủ ngực, có thể chết do hở van động mạch chủ cấp, tắc các nhánh lớn của động mạch chủ, chèn ép tim cấp hoặc vỡ động mạch chủ, 75% vỡ vào màng tim, màng phổi trái hoặc trung thất (hình 13). Cũng có thể vỡ vào thất phải, nhĩ trái, tĩnh mạch chủ hoặc động mạch phổi, tạo ra shunt trái-phải lớn. Đặc điểm hình ảnh của vỡ động mạch chủ trên CT không cản quang gồm tụ dịch tăng đậm độ ở trung thất, màng tim hoặc màng phổi. CT cản quang thấy không đều thành động mạch chủ và có thể thấy thuốc cản quang thoát mạch.

Hình 13: Bóc tách động mạch chủ Stanford type A. (a) Hình axial qua ngực thấy tràn dịch màng tim tăng đậm độ (mũi tên) phù hợp với tràn máu màng tim. (b, c) Hình axial qua ngực ở bệnh nhân khác cho thấy tràn dịch màng tim đậm độ cao phù hợp với tràn máu màng tim, cũng như tràn máu màng phổi trái. Vành bóc tách thấy rõ ở động mạch chủ xuống. (d) Hình MIP sagittal thấy vành bóc tách ở phía xa của động mạch dưới đòn trái (mũi tên) cùng với tràn máu màng tim và màng phổi.
Các nghiên cứu trước đây đã chứng minh rằng 33% bệnh nhân có dấu hiệu và triệu chứng của tổn thương cơ quan khác.
Tổn thương thần kinh gặp khoảng 5-10% bệnh nhân. Có thể gồm tổn thương một hoặc nhiều nhánh mạch máu. Cần phải chụp bao phủ luôn cả các nhanh động mạch chính để bảo đảm chẩn đoán sớm và giúp lập kế hoạch phẫu thuật để cải thiện tiên lượng (hình 14).

Hình 14: Bóc tách động mạch thân cánh tay đầu. (a) Axial qua trung thất trên thấy vành bóc tách ở động mạch thân cánh tay đầu phải (mũi tên). (b) Hình coronal cho thấy rằng động mạch không tên nhận máu từ cả lòng thật và lòng giả, trong khi động mạch cảnh chung và động mạch dưới đòn trái nhận máu chủ yếu từ lòng thật.
Liên quan các nhanh động mạch chủ bụng chính được báo cáo trong 27% trường hợp; các động mạch thân tạng, động mạch mạc treo tràng trên và động mạch mạc treo tràng dưới có thể bị liên quan. tắc động mạch thân tạng có thể dẫn đến nhồi máu gan hoặc lách với đau bụng vá các xét nghiệm máu gan bất thường. Liên quan các nhánh mạc treo có thể dẫn đến nhồi máu mạc treo với buồn nôn, nôn, ợ hơi, đau bụng, tiêu chảy có máu nhiễm trùng tái đi tái lại và men tụy, gan bất thường. Tổn thương động mạch thận có thể dẫn đến thiếu máu với thiểu niệu, vô niệu và các tham số máu của thận bất thường. Các động mạch thận được cấp máu bởi lòng giả hiếm khi bị tổn thương. Hình 15 minh họa một vành bóc tách gần nguyên ủy của một nhánh mạch máu bụng, có thể tiến triển đến tắc động hoặc tắc tĩnh của mạch máu liên quan. Điều quan trọng làn nhìn cơ quan đích như thận để tìm bằng chứng tổn thương (chẳng hạn, nhồi máu hoặc thiếu máu) (hình 16-18).

Hình 15: Vành bóc tách gần nguyên ủy động mạch mạc treo tràng trên. Trên hình axial, vành bóc tách chạy qua nguyên ủy động mạch mạc treo tràng trên. Nếu lòng giả lớn thêm, vành bóc tách có thể sa xuống dần qua nguyên ủy động mạch gây tắc động của động mạch này.

Hình 16: Biến chứng của bóc tách động mạch chủ ngực. Hình axial ngang qua bụng cho thấy vành bóc tách liên quan nguyên ủy động mạch mạc treo tràng trên (mũi tên). Thấy vành bóc tách đi vào nguyên ủy động mạch, vì vậy gây tổn thương lòng mạch. Kiểu tắc này được điều trị bằng đạt stent nội mạch.

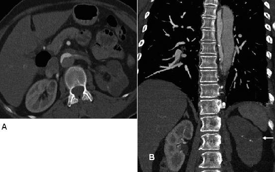
Hình 17: (a) Biến chứng của bóc tách động mạch chủ ngực. Trên Hình axial ngang qua bụng thực hiện ở một bệnh nhân khác, vành bóc tách lòng giả không bắt thuốc chạy lan vào động mạch thận trái và không bắt quang thận trái, một dấu hiệu phù hợp với thiếu máu-nhồi máu nặng. Động mạch thận phải được cấp máu bởi lòng thật và thấy bắt quang bình thường. Ngược lại, trong tắc động, vành lớp áo trong sa xuống qua nguyên ủy động mạch thận, hoạt động như bức màng và bao phủ lỗ động mạch thận. (b) Hình coronal qua bụng cho thấy động mạch thận trái không bắt quang (mũi tên) phù hợp với thiếu máu-nhồi máu thận. Vành bóc tách được nhìn thấy ở động mạch chủ xuống.

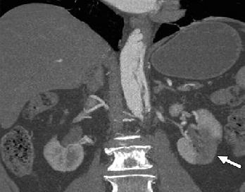
Hình 18: Biến chứng của bóc tách động mạch chủ ngực. Hình coronal qua bụng ở một bệnh nhân thứ ba cho thấy vùng giới hạn rõ đậm độ thấp (giảm tưới máu) ở thận trái (mũi tên), một dấu hiệu phù hợp với nhồi máu thận cấp. Vành bóc tách được ghi nhận ở động mạch chủ xuống.
CT với 64 đầu dò có độ phân giải không gian cần để xác định động mạch vành. Cổng tim trở thành một tiêu chuẩn quan trọng vì nó cho phép mô tả gốc động mạch chủ và nhìn vành bóc tách liên quan động mạch vành. Liên quan động mạch vành đòi hỏi phải phẫu thuật tim-lồng ngực cấp cứu và thường tử vong.
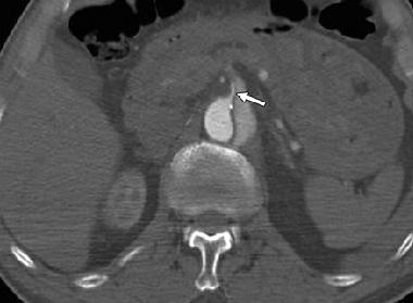
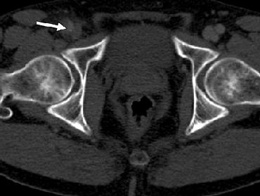
Sự lan của vành bóc tách vào động mạch đùi chung có thể gây ra các dầu hiệu và triệu chứng của thiếu máu chi dưới, với đau lạnh ở ngoại biên, da xanh tái, không có mạch và hoại thư. Vì vậy người ta khuyên khảo sát toàn bộ động mạch chủ và chậu xuống đến bẹn để phát hiện đầy đủ tổn thương (hình 19). Sự lan của bóc tách type B vào các động mạch chậu hoặc đùi có ảnh hưởng đến xử trí và lập kế hoạch làm thủ thuật, đặc biệt khi xem xét đến đặc stent-ghép. Liên quan đến tổn thương động mạch chậu và đùi, nếu xem xét đến việc can thiệp qua da, điều quan trọng là phải xác định có lòng thật để đi vào được hay không với cách tiếp cận động mạch đùi phải hay trái.

Hình 19: Hình axial cho thấy sự lan của vành bóc tách vào đ6ọng mạch đùi chùng phải (mũi tên). Dấu hiệu này nhấn mạnh đến sự cần thiết phải khào sát toàn bộ động mạch chậu và đùi để phát hiện độ lan đầy đủ của tổn thương.
KẾT LUẬN
Bóc tách động mạch chủ là một tình trạng cấp cứu khẩn thường gặp nhất của động mạch chủ và thường dẫn đến tử vong cho bệnh nhân. Cần chẩn đoán và điều trị sớm để cải thiện tiên lượng. Người ta khuyên khảo sát toàn bộ động mạch chủ và chậu để giúp xác định kiểu và độ lan của bóc tách và giúp phát hiện sớm biến chứng đủ để cải thiện kết quả và giúp lập kế hoạch điều trị.
Hình ảnh CT của động mạch chủ được thực hiện nhanh chóng và có sẵn rộng rãi, là các đặc điểm quan trọng làm nên chẩn đoán chính xác nhanh chóng ở bệnh nhân không ổn định. CT đa dãy đầu dò cho phép tạo ảnh toàn bộ động mạch chủ với thu thập và tái tạo dữ liện nhanh để đưa ra chẩn đoán kịp thời chính xác và giúp xác định biến chứng liên quan có thể có ảnh hưởng đến lập kế hoạch phẫu thuật hoặc xử trí.
Bs Cao Thiên Tượng
Dich từ
Multidetector CT of Aortic Dissection: A Pictorial Review
Michelle A. McMahon, FRCR and Christopher A. Squirrell, FRCR March 2010 RadioGraphics, 30, 445-460.