
Tiếp theo
4. MRI
Nhạy hơn về những những thay đổi viêm ở vùng quanh túi thừa Meckel. Nếu có lạc chỗ niêm mạc tuyến dạ dày thì lớp này sẽ hiện rõ do bắt thuốc cản từ ngay lập tức ở thì mao mạch (Capillary phase) và thì mô kẽ (interstitial phase).
Hình 6: Hình T1W xóa mỡ sau tiêm thuốc cản từ, túi thừa Meckel có dạng hình giọt nước (mũi tên). Lớp trong bắt thuốc cản từ mạnh hơn lớp niêm mạc của đại tràng và hồi tràng, đó là lớp niêm mạc dạ dày lạc chỗ. (Diego R. Martin, Ersan Altun, Jorge Elias et al (2010). Gastrointestinal tract. In: Richard C. Semelka. Abdominal – pelvic MRI 3rd
edition.Wiley-Blackwell: P774)
Hình 7: Hình coronal T2W SSTSE (Single – short turbo spine-echo) cho thấy cấu trúc hình ống có đầu tận cùng nằm giữa dưới rốn, chứa đầydịch (mũi tên). Mỡ mạc treo có tín hiệu không đồng nhất do viêm. (Shilpa Hegde. Jonathan R. Dillman. Samir Gadepalli et al (2012). MR enterography of perforated acute Meckel diverticulitis. Springer Pediatr Radiol 42:259).
5. DSA
Mạch máu nuôi túi thừa Meckel là mạch máu còn lại của mạch máu rốn ruột, đây là dấu hiệu để chẩn đoán túi thừa Meckel trên DSA. Ở một vài bệnh nhân mạch máu nuôi túi thừa Meckel có thể đến từ các nhánh của động mạch hồi đại tràng. Động mạch rốn ruột thường bắt nguồn từ đoạn xa nhánh hồi tràng của động mạch treo tràng trên.
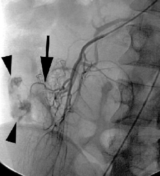
Hình 8: Hình ảnh túi thừa Meckel ở bệnh nhân nữ 22 tuổi bị đau bụng và thiếu máu mạn. A, Hình DSA thấy động mạch rốn ruột bắt nguồn từ đoạn xa nhánh hồi tràng của động mạch treo tràng trên (mũi tên). B, thì động mạch trễ cho thấy đám mạch máu có dạng ống ở bờ của túi thừa (mũi tên). C, Sau phẫu thuật : túi thừa Meckel xuất huyết. (Angela D. Levy, Christine M. Hobbs (2004). Meckel Diverticulum: Radiologic Features with Pathologic Correlation. RadioGraphics; 24:577)
Hình 9: DSA thấy máu đang chảy từ túi thừa Meckel ở bệnh nhân nam 26 tuổi với triệu chứng đi cầu ra máu. Bơm thuốc ở
động mạch hồi đại tràng thấy xuất huyết ở nhánh gần (mũi tên). Thuốc cản quang thoát vào lòng ruột non (đầu mũi tên).
(Angela D. Levy, Christine M. Hobbs (2004). Meckel Diverticulum: Radiologic Features with Pathologic Correlation. RadioGraphics; 24:577)
6. Chụp nhấp nháy đồ với đồng vị phóng xạ ( Technetium – 99m pertechnetate scintigraphy)
Chất đồng vị Tc-99m tập trung nhiều ở tế bào chế tiết chất nhầy niêm mạc dạ dày, nên dùng để khảo sát túi thừa Meckel chứa niêm mạc dạ dày lạc chỗ cho độ đặc hiệu cao. Ở trẻ em độ nhạy 85%, độ đặc hiệu 95%. Ở người lớn độ nhạy thấp hơn 63%, độ đặc hiệu 2%2. Những nguyên nhân làm cho dương tính giả: nang đôi dạ dày hoặc ruột non, lạc chỗ niêm mạc dạ dày vào ruột non bình thường, những nguyên nhân gây tăng sinh mạch máu ruột non như viêm loét (loét đại tràng, Crohn, …). Những nguyên nhân làm cho âm tính giả: túi thừa Meckel không chứa hoặc chứa quá ít niêm mạc dạ dày khiến không đủ độ tập trung của anion Tc-99m pertechnetate.
Hình 10: Túi thừa Meckel chụp nhấp đồ với đồng vị phóng xạ Tc-99m pertechnetate
A, ở bệnh nhân nam 17 tuổi, hình ảnh túi thừa Meckel là bóng tròn nhỏ từ từ hiện rõ qua theo thời gian chụp (mũi tên). B, bệnh nhân 4 tuổi, túi thừa Meckel bắt đầu hiện rõ ở 45 phút sau tiêm ( mũi tên). (Angela D. Levy, Christine M. Hobbs (2004). Meckel Diverticulum: Radiologic Features with
Pathologic Correlation. RadioGraphics; 24:576)
7. SPECT (single photon emission computed tomography)/CT
SPECT chẩn đoán túi thừa Meckel đã được báo cáo. Chỉ định khi các phương tiện chẩn đoán hình ảnh khác âm tính mà lâm sàng vẫn nghi ngờ chảy máu túi thừa Meckel.
Hình 11: a, CT thấy đoạn ruột tận, ở ngang rốn bên phải (mũi tên). b, SPECT, chất đánh dấu phóng xạ tập trung ở giữa bụng bên phải. c, hình fused SPECT/CT cấu trúc có đầu tận phù hợp với túi thừa Meckel (mũi tên trắng), phần không hiện thị trên hình fused SPECT/CT (mũi tên vàng) được xem là do nhu động ruột. d, hình giải phẫu bệnh cho thấy niêm mạc dạ dày lạc chỗ trong túi thừa. (Jonathan R. Dillman Æ Ka Kit Wong et al (2009). Utility of SPECT/CT with Meckel’s scintigraphy. Ann Nucl Med 23:813–815.)
HÌNH ẢNH CÁC BIẾN CHỨNG VÀ BỆNH LÝ CỦA TÚI THỪA MECKEL
1. Xuất huyết.
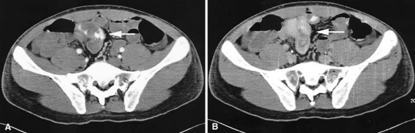
Là biến chứng thường gặp nhất ở trẻ em, chụp nhấp nháy đồ Tc-99m pertechnetate là lựa chọn tốt nhất ở trẻ em bị xuất huyết tiêu hóa nghi do túi thừa Meckel. Hình ảnh thường xuất hiện sau 30 phút sau tiêm, là những vùng tập trung thuốc tròn nhỏ ở ¼ bụng dưới phải. Trên CT túi thừa đang xuất huyết có thể thấy thoát thuốc cản quang vào lòng ruột non, trong túi thừa. Nguyên nhân thường do loét vì hay chứa mô tuyến dạ dày, tụy lạc chỗ tiết acid gây loét vào mạch máu nuôi túi thừa.
Hình 12: A, CT cản quang thì động mạch, hình ảnh thoát thuốc cản quang từ cổ túi thừa Meckel ở đoạn xa hồi tràng (mũi tên). B, Thì trễ, hình ảnh tăng đậm độ và lẫn thuốc cản quang trong lòng túi thừa do xuất huyết ( mũi tên).
( Danzer, P. Gervaz, A. Platon, P.-A. Poletti (2003). Bleeding Meckel’s diverticulum diagnosis: an unusual indication for computed tomography. Abdominal Imaging 28:632)
Hình 13: Xuất huyết tiêu hóa do niêm mạc dạ dày lạc chỗ trong túi thừa Meckel ở bệnh nhân nam 22 tuổi. A, CT không cản quang. B, thuốc cản quang thoát vào lòng túi thừa Meckel (Alexandra Platon, Pascal Gervaz et al (2010). Computed tomography of complicated Meckel’s diverticulum in adults: a pictorial review. Insights Imaging 1:59)
Xuất huyết túi thừa Meckel do phình động mạch rốn ruột (vitellointestinal artery) đã được Takehiro Sakai và cộng sự báo cáo năm 20069.
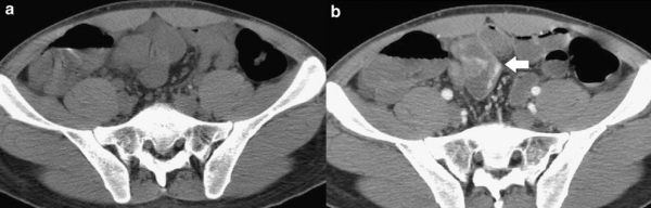
2.Tắc ruột
Biến chứng đứng hàng thứ hai sau xuất huyết. Ngoài những dấu hiệu của tắc ruột non, chẩn đoán tắc ruột do túi thừa Meckel được nghĩ đến khi thấy hình ảnh điển hình của túi thừa Meckel trên CT: Hình ảnh đoạn ruột tận, niêm mạc bắt thuốc cản quang mạnh, hoặc có dị vật hay nốt vôi bên trong ở ¼ bụng dưới phải.
Hình 14: Tắc ruột non do xoắn túi thừa Meckel ở bệnh nhân nam 30 tuổi. A, x quang bụng nằm ngửa, B chụp bụng đứng. Một bóng khí hình oval chứa nhiều nốt vôi dạng viền bên trong ở ¼ bụng dưới phải (mũi tên). Sau phẫu thuật là túi thừa Meckel bị xoắn (Angela D. Levy, Christine M. Hobbs (2004). Meckel Diverticulum: Radiologic Features with Pathologic Correlation. RadioGraphics 24:578)
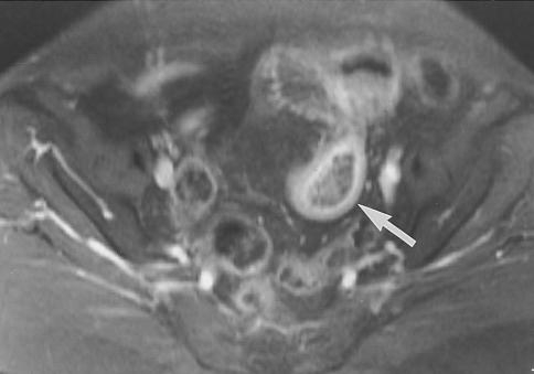
Hình 15: Tắc ruột do lồng ở bệnh nhân nữ 41 tuổi bị nhồi máu và hoại tử túi thừa Meckel. A, các quai ruột non trên đoạn tắc giãn lớn. B, đoạn hồi tràng bị lồng, đoạn ruột non thành dày phù nề (đầu mũi tên). Điểm giữa đoạn lồng có mỡ giảm đậm độ (mũi tên). Sau phẫu thuật : nhồi máu và hoại tử túi thừa Meckel là nguyên nhân gây lồng hồi – hồi tràng. (Angela D. Levy, Christine M. Hobbs (2004). Meckel Diverticulum: Radiologic Features with Pathologic Correlation. RadioGraphics; 24:578)
Khi túi thừa Meckel có dải xơ nối với rốn hoặc nối với mạc treo, hoặc đầu tận cùng túi thừa Meckel dính với mạc treo thì sẽ trở thành cái bẫy cho các quai ruột non chui vào gây tắc ruột.
Hình 16: Tắc ruột do dải xơ của túi thừa Meckel ở bệnh nhân nam 17 tuổi. Hình ảnh phẫu thuật cho thấy dải xơ nối túi thừa Meckel và mạc treo, bên trong chứa mạch máu nuôi túi thừa.(Aziz Sumer et al (2010). Small Bowel Obstruction due to Mesodiverticular Band of Meckel’s Diverticulum: A Case Report. Hindawi Publishing Corporation Case Reports in Medicine. Article ID 901456; p2)
Hình 17: Hoại tử hồi tràng do chui vào thòng lòng được tạo bởi đầu tận cùng túi thừa Meckel dính với măt lưng mạc treo ở bệnh nhân nam 32 tuổi. A, CT quai ruột non dãn lớn, đoạn hồi – manh tràng xẹp nên nghi ngờ tắc ở hồi tràng. B, phẫu thuật: túi thừa Meckel và đoạn hồi tràng bị hoại tử. (Oguzhan KARATEPE. Cem DURAL et al (2008). Rare Complication of Meckel’s Diverticulum: Loop Formation of Diverticulum. Turk J Med Sci; 38 (1): 92.)
Hình 17C: Hình vẽ mô tả quai ruột non chui vào thòng lòng của túi thừa Meckel dính đầu tận cùng với mạc treo.
Tắc ruột do túi thừa Meckel dính vào thành bụng sau rất hiếm gặp và đã được ghi nhận.
Hình 18: A, CT các quai ruội non dãn, hồi tràng dính vào thành bụng sau (mũi tên). B, x quang thấy ổ đọng thuốc tròn khoảng 5 cm (đầu mũi tên). C, Hình mô tả vị trí túi thừa Meckel. D, đại thể: túi thừa Meckel, cổ túi thừa dính vào thành bụng sau (mũi tên), không phát hiện viêm hay loét. (C. Yamamoto et al (2003).: Meckel’s diverticulum adherent to abdominal wall. Journal of Gastroenterolory ; 38:195)
3.Thoát vị túi thừa Meckel.
Với đầu tận tự do và dài nên túi thừa Meckel có thể thoát vị vào bất cứ vị trí nào trong ổ bụng. Khoảng 50% thoát vị vào ống bẹn, 20% thoát vị đùi, 20% thoát vị rốn, và 10% thoát vị ở vị trí khác2.
Hình 19: Hình vẽ mô tả túi thừa Meckel thoát vị vào ống bẹn (Littre hernia).
(Angela D. Levy, Christine M. Hobbs (2004). Meckel Diverticulum: Radiologic Features with Pathologic Correlation. RadioGraphics 24:569)
Một trường hợp thoát vị túi thừa Meckel và ruột thừa viêm vào ống đùi.
(thoát vị De Garengeot: thoát vị ruột thừa vào ống đùi. Thoát vị Littre: thoát vị túi thừa Meckel vào ống bẹn).
Hình 20: Bệnh nhân nữ 70 tuổi nhập viện vì đau bụng nôn ói. Hình CT thấy cấu trúc hình ống bắt quang thành ở trong ống đùi phải được nhận định là ruột thừa(mũi tên), các quai ruột non dãn lớn. Sau phẫu thuật: hồi tràng và túi thừa Meckel cách van hồi manh tràng 60 cm, ruột thừa và manh tràng thoái vị vào trong ống đùi phải. Túi thừa Meckel bị dò tạo ổ abscess kèm ruột thừa viêm trong ống đùi phải. (A. W. Phillips · S. R. Aspinall. CASE REPORT. Appendicitis and Meckel’s diverticulum in a femoral hernia: simultaneous De Garengeot and Littre’s hernia. Springer Published online 27 march 2011).
Thoát vị Spigelian : thoát vị qua nếp bán nguyệt của cân cơ Spigelian, là nơi các cân cơ thành bụng trước bên hợp nhất lại để tạo thành bao cơ thẳng bụng. Thoát vị này hầu như xảy ra ở nơi đường cung bắt chéo nếp bán nguyệt và ở trên động mạch thượng vị dưới. Túi thừa Meckel có thể bị thoát vị qua đây.
Hình 21: Hình vẽ mô tả vị trí thoát vị Spigelian.
(http://ehealthwall.com/spigelian-hernia-symptoms-pictures-location-anatomy-causes-repair)
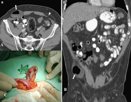
Hình 22: Thoát vị Spigelian hai bên. A, Túi thừa Meckel (mũi tên)và mạc nối (đầu mũi tên) trong thoái vị Spigelian. B, CT Coronal tái tạo, túi thừa Meckel trong thoát vị Spigelian. C, Túi thừa Meckel bị nghẹt trong thoát vị Spigelian xuất huyết và hoại tử.
(Abdel-Rauf Zeina et al (2012). Computed Tomographic Diagnosis of Incarcerated Meckel’s Diverticulum in a Patient with Bilateral Spigelian Hernia. J Gastrointest Surg 16:448)
Xem tiếp trang 3