
Tiếp theo
4. Túi thừa Meckel lộn ngược (inverted Meckel divercutilum).
Túi thừa Meckel có thể bị lộn ngược lại chui vào trong lòng hồi tràng. Khi đó mỡ mạc treo của túi thừa bị kéo vào theo. Như vậy sẽ dễ dẫn đến tắc ruột hoặc lồng ruột mà túi thừa đóng vai trò nguyên nhân điểm khởi lồng.
Hình 23: Hình vẽ mô tả túi thừa Meckel lộn ngược. A, túi thừa Meckel lộn ngược chui vào lòng ruột non kéo theo mỡ mạc treo của túi thừa.B, Túi thừa Meckel lộn ngược đóng vai trò nguyên nhân điểm khởi lồng cho lồng hồi-hồi tràng hoặc hồi – manh tràng.
(Angela D. Levy, Christine M. Hobbs (2004). Meckel Diverticulum: Radiologic Features with Pathologic Correlation. RadioGraphics 24:581)
Trên CT thấy khối mô mềm tròn có đậm độ mỡ ở trung tâm. Siêu âm thấy hình ảnh giống “target sign” với trung tâm là mỡ echo dày. Cần chẩn đoán phân biệt với polyp, lipoma ruột non.
Hình 24: Túi thừa Meckel lộn ngược ở bệnh nhân nữ 61 tuổi. A, Hình siêu âm thấy “target sign” với vùng trung tâm là mỡ echo dày. B, đại thể: túi thừa Meckel lộn ngược, niêm mạc đỏ phù nề (mũi tên) (Angela D. Levy, Christine M. Hobbs (2004). Meckel Diverticulum: Radiologic Features with Pathologic Correlation. RadioGraphics 24:582)
Hình 25: Túi thừa Meckel lộn ngược ở bệnh nhân nam 50 tuổi.A, Chụp ruột non cản quang thấy khuyết thuốc có dạng hình ống trong hồi tràng (đầu mũi tên). B, CT cản quang tĩnh mạch và đường uống thấy vòng mô mềm bao quanh mass đậm độ mỡ trong ruột non (mũi tên). C, đại thể của túi thừa Meckel lộn ngược với niêm mạc đỏ rực và phù nề. D, hình đại thể thấy mỡ mạc treo nằm ở trung tâm túi thừa Meckel lộn ngược. (Angela D. Levy, Christine M. Hobbs (2004). Meckel Diverticulum: Radiologic Features with Pathologic Correlation. RadioGraphics 24:582)
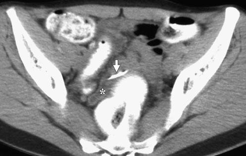
Hình 26: Túi thừa Meckel lộn ngược ở bệnh nhân nam 31 tuổi. A, CT uống và tiêm cản quang, thấy khối lồng hồi manh tràng, có “target sign” (đầu mũi tên). B, Vùng trung tâm là lõi dài đậm độ mỡ (mũi tên. Sau mổ là túi thừa Meckel lộn ngược . (Angela D. Levy, Christine M. Hobbs (2004). Meckel Diverticulum: Radiologic Features with Pathologic Correlation. RadioGraphics 24:583).
5. Viêm túi thừa Meckel.
Là một biến chứng thường gặp nhất ở người lớn. Trên CT hình ảnh là đoạn ruột tận, dính vào đoạn cuối tá tràng, có mạc treo thâm nhiễm bao quanh. Có thể thấy dịch, mức khí – dịch, sỏi phân, dị vật trong túi thừa Meckel viêm hay ổ abscess vùng ¼ bụng dưới phải.
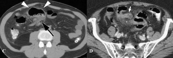
Hình 27: viêm túi thừa Meckel. A, Hình CT tiêm và uống thuốc cản quang ở bệnh nhân nam 22 tuổi, thấy cấu trúc hình ống, thành bắt cản quang, lòng chứa đầy dịch nằm dưới rốn ( mũi tên). Dày thành ruột non kế cận và thay đổi do viêm của mỡ mạc treo. B, CT cản quang tĩnh mạch ở bệnh nhân 49 tuổi, thấy cấu trúc tròn chứa dịch, bắt quang thành, có sỏi vôi bên trong (mũi tên). Thâm nhiễm mỡ kế cận. C, CT cản quang tĩnh mạch ở bệnh nhân 57 tuổi thấy đoạn ruột tận, tròn (đâu mũi tên)dính với đoạn xa hồi tràng (mũi tên). D. Bệnh nhân 76 tuổi. Thấy có đoạn ruột tận, bắt nguồn từ đoạn xa manh tràng bên trong chứa đầy dịch (mũi tên),thâm nhiễm mỡ xung quanh (dấu hoa thị). Tất cả sau mổ là viêm túi thừa Meckel. (Hình A, B, C: Angela D. Levy, Christine M. Hobbs (2004). Meckel Diverticulum: Radiologic Features with Pathologic Correlation. RadioGraphics 24:584. Hình D: Alexandra Platon , Pascal Gervaz (2010). Computed tomography of complicated Meckel’s diverticulum in adults. Insights Imaging 1:56).
Thủng túi thừa Meckel có thể do viêm, thiếu máu, hay loét.
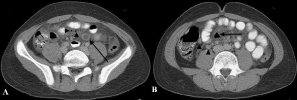
Hình 28: Thủng túi thừa Meckel ở bệnh nhân nữ 33 tuổi. A, CT uống và tiêm cản quang, thấy khí dò ra từ túi thừa Meckel ở ¼ bụng dưới phải (hoa thị). Hồi tràng và mỡ mạc treo thâm nhiễm bao xung quanh ( mũi tên). B, Coronal tái tạo: túi thừa Meckel bị dò (dấu hoa thị) và dày thành hồi tràng. (Alexandra Platon , Pascal Gervaz (2010). Computed tomography of complicated Meckel’s diverticulum in adults. Insights Imaging 1:56).
Hình 29: Thủng túi thừa Meckel ở bệnh nhân nam 12 tuổi. A,Cấu trúc tròn, thành niêm mạc bắt thuốc cản quang mạnh, trong chứa đầy dịch (mũi tên). Hai bóng khí tự do thoát ra từ lỗ dò túi thừa Meckel (đầu mũi tên). B, Hạch mạc treo ở ¼ bụng dưới phải (đầu mũi tên) Khí tự do ở đường giữa bụng (mũi tên) kèm thâm nhiễm mỡ mạc treo do viêm xung quanh. (Brian T. Kloss, Claire E. Broton, Anne Marie Sullivan (2010). Perforated Meckel diverticulum. Int J Emerg Med 3:456).
Túi thừa Meckel kết hợp với bệnh Crohn hiếm gặp và gây khó khăn cho chẩn đoán và phẫu thuật.
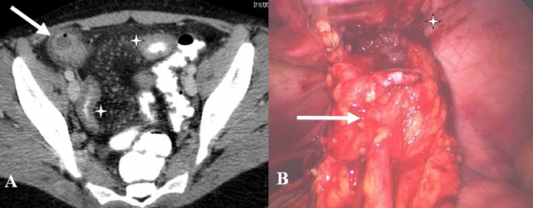
Hình 30: Thủng túi thừa Meckel ở bệnh nhân nữ 22 tuổi bị bệnh Crohn. A, CT thấy ổ abscess ở hố chậu phải (mũi tên),thành hồi tràng đoạn cuối rất dày (dấu sao) thâm nhiễm mỡ mạc treo xung quanh. B, túi thừa Meckel viêm thủng( mũi tên)và dính vào thành bụng trước (dấu sao). (Frank Schwenter, Pascal Gervaz et al (2009). Perforated Meckel’s diverticulitis complicating active Crohn’s ileitis: a case report. Journal of Medical Case Reports, 3:12).
Dò túi thừa Meckel do dị vật rất hiếm gặp và thường xảy ra ở trẻ em. Những dị vật tăm xỉa răng, xương cá, xương gà, nút pin .. đã được báo cáo.
Hình 31: Thủng túi thừa Meckel ở bệnh nhân nam 1 tuổi bị bệnh Crohn. A, X quang thấy dị vật cản quang tròn ở hố chậu phải (mũi tên). B, túi thừa Meckel hoại tử thủng do dị vật là pin lithium 10 x 3 mm ( mũi tên). (AYS¸E KARAMAN, I˙BRAHI˙M KARAMAN (2007). Perforation of Meckel’s Diverticulum by a Button Battery: Report of a Case. Surg Today 37:1116.).
Hình 32: Dị vật túi thừa Meckel ở bệnh nhân nữ 20 tuổi. CT cản quang đường uống thấy đoạn ruột tận, trong chứa đầy dịch (dấu hoa thị), có dị vật cản quang ở cổ (mũi tên), sau phẫu thuật dị vật là chiếc kim ở ngay cổ túi thừa Meckel. (Alexandra Platon, Pascal Gervaz et al (2010). Computed tomography of complicated Meckel’s diverticulum in adults: a pictorial review. Insights Imaging 1:59).
6. U túi thừa Meckel.
U túi thừa Meckel rất hiếm gặp. Những trường hợp u đã được báo cáo trong y văn: Carcinoid (33% 24), GIST (gastrointestinal stromal tumor), leiomyosarcoma (18%24), adenocarcinoma (12%24), trong tất cả các loại u ở túi thừa Meckel. Hình ảnh của u túi thừa Meckel đa phần không điển hình nên hầu hết các được chẩn đoán sau phẫu thuật.
Carcinoid túi thừa Meckel: là u gặp nhiều nhất khoảng 33% 24. Thường là nốt đơn độc tròn nhỏ, được phát hiện khi làm giải phẫu bệnh.
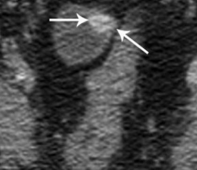
Hình 33: Hình ảnh carcinoid trong túi thừa Meckel bắt thuốc cản quang mạnh (mũi tên).
(Scott R. Paulsen et al (2006). CT Enterography as a Diagnostic Tool in Evaluating Small Bowel Disorders: Review of Clinical Experience with over 700 Cases. RadioGraphics; 26:651).
Gastrointestinal stromal tumor (GIST): chiếm khoảng 12%22, trên hình CT là mass mô mềm thường có hoại tử trung tâm và tăng quang viền.
Hình 34: GIST của túi thừa Meckel ởbệnh nhân nam 65 tuổi. A, CT thấy mass mô mềm ởvùng chậu nằm trên sau bàng quang và đè ép thành trước đại tràng sigma. B, U nằm trong túi thừa Meckel dính vào thành bàng quang. C,Túi thừa Meckel với phần u bịcắt rời. D,hình giải phẫu bệnh với chẩn đoán là GIST. (K Chandramohan et al (2007). Gastrointestinal stromal tumour inMeckel’s diverticulum. World Journal of Surgical Oncology; 5:50).
Hình 35: adenocarcinoma túi thừa Meckel ở bệnh nhân nam 58 tuổi. A, CT thấy mass dưới rốn đậm độ không đồng nhất, tăng quang viền. B, Hình phẫu thuật đoạn hồi tràng chứa túi thừa Meckel, có khối u ở đầu tận cùng túi thừa. Yasuhiro Sato et al (2009). (Adenocarcinoma of Meckel’s diverticulum diagnosed by capsule endoscopy and single-balloon enteroscopy. Clin J Gastroenterol 2:388–393).
Hình 36: leiomyosarcoma ở bệnh nhân nữ 49 tuổi. A, CT thấy mass mô mềm tròn nằm bên phải tử cung. B, hình phẫu thuật, túi thừa Meckel với động mạch rốn ruột xuất phát từ mạc treo (mũi tên), có u nhú bên trong túi thừa. Giải phẫu bệnh : leiomyosarcoma. (Nobuyuki Shimizu, Shu Kuramoto et al (1997). Leiomyosarcoma Originating in Meckel’s Diverticulum: Report of a Case and a Review of 59 Cases in the English Literature. Surg Today 27:547)
ĐIỀU TRỊ.
Tất cả các túi thừa Meckel đều được phẫu thuật cắt bỏ. Cắt bỏ đoạn hồi tràng chứa túi thừa, nối tận – tận hồi tràng hoặc chỉ cắt túi thừa dạng hình chêm.
Hình 38. Mô tả các phương pháp phẫu thuật túi thừa Meckel.
(Gilles Poncet, Valérie Hervieu et al (2011). Neuroendocrine Tumors of Meckel’s Diverticulum: Lessons from a Single Institution Study of Eight Cases. J Gastrointest Surg 15:109)
KẾT LUẬN
Túi thừa Meckel là bất thường bẩm sinh thường gặp trong bât thường bẩm sinh ở đường tiêu hóa. Vị trí thay đổi, hình ảnh không điển hình nên túi thừa Meckel thường bị bỏ sót. Theo nghiên cứu của Bác sĩ Dương Văn Hải 22 ca túi thừa Meckel đều được chẩn đoán sau mổ1. Điều này nói lên chẩn đoán túi thừa Meckel trước phẫu thuật là một thách thức cho các nhà lâm sàng và hình ảnh học. CT là phương tiện thường được các bác sĩ ngoại khoa chỉ định để khảo sát bụng cấp cứu khi triệu chứng lâm sàng và siêu âm không xác định được. Các dấu hiệu trên CT thường không điển hình cho túi thừa Meckel (xem bảng).
Sự hiểu biết về phôi thai học, lâm sàng, giải phẫu bệnh, và hình ảnh học sẽ giúp ích cho chúng ta phát hiện sớm và chính xác những trường hợp biến chứng của túi thừa Meckel.
Chung Gia Viễn
Tài liệu tham khảo
1. Dương văn Hải (2003). Đặc điểm giải phẫu và bệnh lý túi cùng Meckel. Y học TP HCM. Vol 7 No 2: 85 – 91.
2. Angela D. Levy, Christine M. Hobbs (2004). Meckel Diverticulum: Radiologic Features with Pathologic Correlation. RadioGraphics 24:565–587.
3. Sara M. O’Hara, MD (2005). Meckel Diverticulum. In: Diagnostic imaging pediatrics. Amirsys: P 4-78 – 4-81.
4. Shilpa Hegde. Jonathan R. Dillman. Samir Gadepalli et al (2012). MR enterography of perforated acute Meckel diverticulitis. Springer Pediatr Radiol 42:257–262.
5. Diego R. Martin, Ersan Altun, Jorge Elias et al (2010). Gastrointestinal tract. In: Richard C. Semelka. Abdominal – pelvic MRI 3rd edition.Wiley-Blackwell. P 725 – 821.
6. Jonathan R. Dillman Æ Ka Kit Wong et al (2009). Utility of SPECT/CT with Meckel’s scintigraphy. Ann Nucl Med 23:813–815.
7. D. Danzer, P. Gervaz, A. Platon, P.-A. Poletti (2003). Bleeding Meckel’s diverticulum diagnosis: an unusual indication for computed tomography. Abdominal Imaging 28:631–633.
8. Genevieve L. Bennett.Bernard A. Birnbaum. Emil J. Balthazar (2004). CT of Meckel’s Diver ticulitis in 11 Patients. AJR;182:625–629.
9. Takehiro Sakai, Koichi Sato, Yasuhiro Sudo et al (2006). Bleeding Meckel Diverticulum Associated with a Vitellointestinal Artery Aneurysm Found on preoperative Angiography: Report of a Case. Surgery Today 36:1118–1121.
10. Oguzhan KARATEPE. Cem DURAL et al (2008). Rare Complication of Meckel’s Diverticulum: Loop Formation of Diverticulum. Turk J Med Sci; 38 (1): 91-93.
11. C. Yamamoto et al (2003). Meckel’s diverticulum adherent to abdominal wall. Journal of Gastroenterolory ; 38:194–196.
12. A. W. Phillips · S. R. Aspinall. CASE REPORT. Appendicitis and Meckel’s diverticulum in a femoral hernia: simultaneous De Garengeot and Littre’s hernia. Springer Published online 27 march 2011.
13. Abdel-Rauf Zeina et al (2012). Computed Tomographic Diagnosis of Incarcerated Meckel’s Diverticulum in a Patient with Bilateral Spigelian Hernia. J Gastrointest Surg 16:447–449.
14. Alexandra Platon, Pascal Gervaz et al (2010). Computed tomography of complicated Meckel’s diverticulum in adults: a pictorial review. Insights Imaging 1:53–61.
15. Alexandra Platon , Pascal Gervaz (2010). Computed tomography of complicated Meckel’s diverticulum in adults. Insights Imaging 1:53–61.
16. Brian T. Kloss, Claire E. Broton, Anne Marie Sullivan (2010). Perforated Meckel diverticulum. Int J Emerg Med (2010) 3:455–457.
17. Sara Seitun, Lucia Di Vito, Umberto G et al (2012). Perforated Meckel’s diverticulitis on the mesenteric side: MDCT findings. Abdom Imaging 37:288–291.
18. Frank Schwenter, Pascal Gervaz et al (2009). Perforated Meckel’s diverticulitis complicating active Crohn’s ileitis: a case report. Journal of Medical Case Reports, 3:12.
19. AYS¸E KARAMAN, I˙BRAHI˙M KARAMAN (2007). Perforation of Meckel’s Diverticulum by a Button Battery: Report of a Case. Surg Today 37:1115–1116.
20. N. Mudatsakis • S. Paraskakis • K. Lasithiotakis (2011). Acute appendicitis and carcinoid tumor in Meckel’s diverticulum. Three pathologies in one: a case report. Tech Coloproctol 15 (Suppl 1):S83–S85.
21. Scott R. Paulsen et al (2006). CT Enterography as a Diagnostic Tool in Evaluating Small Bowel Disorders: Review of Clinical Experience with over 700 Cases. RadioGraphics; 26:641–662.
22. K Chandramohan et al (2007). Gastrointestinal stromal tumour in Meckel’s diverticulum. World Journal of Surgical Oncology; 5:50.
23. Yasuhiro Sato et al (2009). Adenocarcinoma of Meckel’s diverticulum diagnosed by capsule endoscopy and single-balloon enteroscopy. Clin J Gastroenterol 2:388–393.
24. Nobuyuki Shimizu, Shu Kuramoto et al (1997). Leiomyosarcoma Originating in Meckel’s Diverticulum: Report of a Case and a Review of 59 Cases in the English Literature. Surg Today 27:546-549.
25. Gilles Poncet, Valérie Hervieu et al (2011). Neuroendocrine Tumors of Meckel’s Diverticulum: Lessons from a Single Institution Study of Eight Cases. J Gastrointest Surg 15:101–109.
26. Doug E. Olson , Yong-Woo Kim , Lane F. Donnelly (2009. CT findings in children with Meckel diverticulum. Pediatr Radiol 39:659–663.