02/06/2020
Thư viện ảnh: dị vật và thoát vị bẹn
29/04/2020
Xuất huyết tiêu hóa và dấu thoát mạch Bowel bleeding – Contrast material extravasiton Bệnh […]
29/04/2020
Thư viện ảnh: Viêm ruột thừa quặt ngược, đầu tận cùng nằm dưới gan Retrocecal […]
28/04/2020
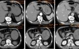
Thư viện hình ảnh: Vỡ khối tá tụy Bệnh nhân nam 1954, chấn thương bụng […]
28/04/2020
Thư viện ảnh: Tắc hồi tràng Bệnh nhân nam 20 tuổi, nhập viện đau bụng […]
25/11/2017
23/11/2017
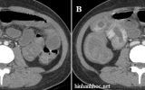
Thư viện ảnh: U tuyến thượng thận tăng tiết cortisol Bệnh nhân nữ 24 tuổi, […]
11/11/2017
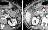
Hoại tử ruột do thoát vị qua lỗ bịt phải (Obturator hernia ) BN nữ […]








